Sábado – Pense por si

Equipa portuguesa foi a primeira a identificar genoma do vírus da varíola dos macacos

Sebastião Almeida
Sebastião Almeida 24 de maio de 2022 às 15:56

Até ao momento, contam-se mais de 150 casos confirmados fora de países em que o vírus é endémico. Em Portugal, esta segunda-feira confirmou-se um total de 37 infetados.

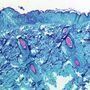
Após a confirmação dos primeiros casos de infeção humana, uma equipa do Instituto Nacional de Saúde Doutor Ricardo Jorge conseguiu identificar a sequência genética do vírus da varíola-dos-macacos, também conhecido como monkeypox. Esta descoberta, refere em comunicado o INSA, "poderá ser fundamental para compreender a origem do surto e as causas para a rápida disseminação da doença". Até ao momento, contam-se mais de 150 casos confirmados fora de países em que o vírus é endémico. Em Portugal, esta segunda-feira confirmou-se um total de 37 infetados.

Para continuar a ler
Já tem conta? Faça login

Assinatura Digital SÁBADO GRÁTIS
durante 2 anos, para jovens dos 15 aos 18 anos.

Saber Mais
No país emerso

Por que sou mandatária de Jorge Pinto

Já muito se refletiu sobre a falta de incentivos para “os bons” irem para a política: as horas são longas, a responsabilidade é imensa, o escrutínio é severo e a remuneração está longe de compensar as dores de cabeça. O cenário é bem mais apelativo para os populistas e para os oportunistas, como está à vista de toda a gente.

Visto de Bruxelas

Cinco para a meia-noite

Com a velocidade a que os acontecimentos se sucedem, a UE não pode continuar a adiar escolhas difíceis sobre o seu futuro. A hora dos pró-europeus é agora: ainda estão em maioria e 74% da população europeia acredita que a adesão dos seus países à UE os beneficiou.